Easy Portal Submission
Submit cases through our intuitive online portal with clinical history and imaging.
Thoughtful, clinically informed diagnostics designed for clarity and confidence to support decisions in practice.
Submit cases through our intuitive online portal with clinical history and imaging.
Package samples for convenient courier pickup — arranged through the portal.
Receive detailed, clinically integrated diagnostics you can trust.
Clinically informed cytology for meaningful answers.
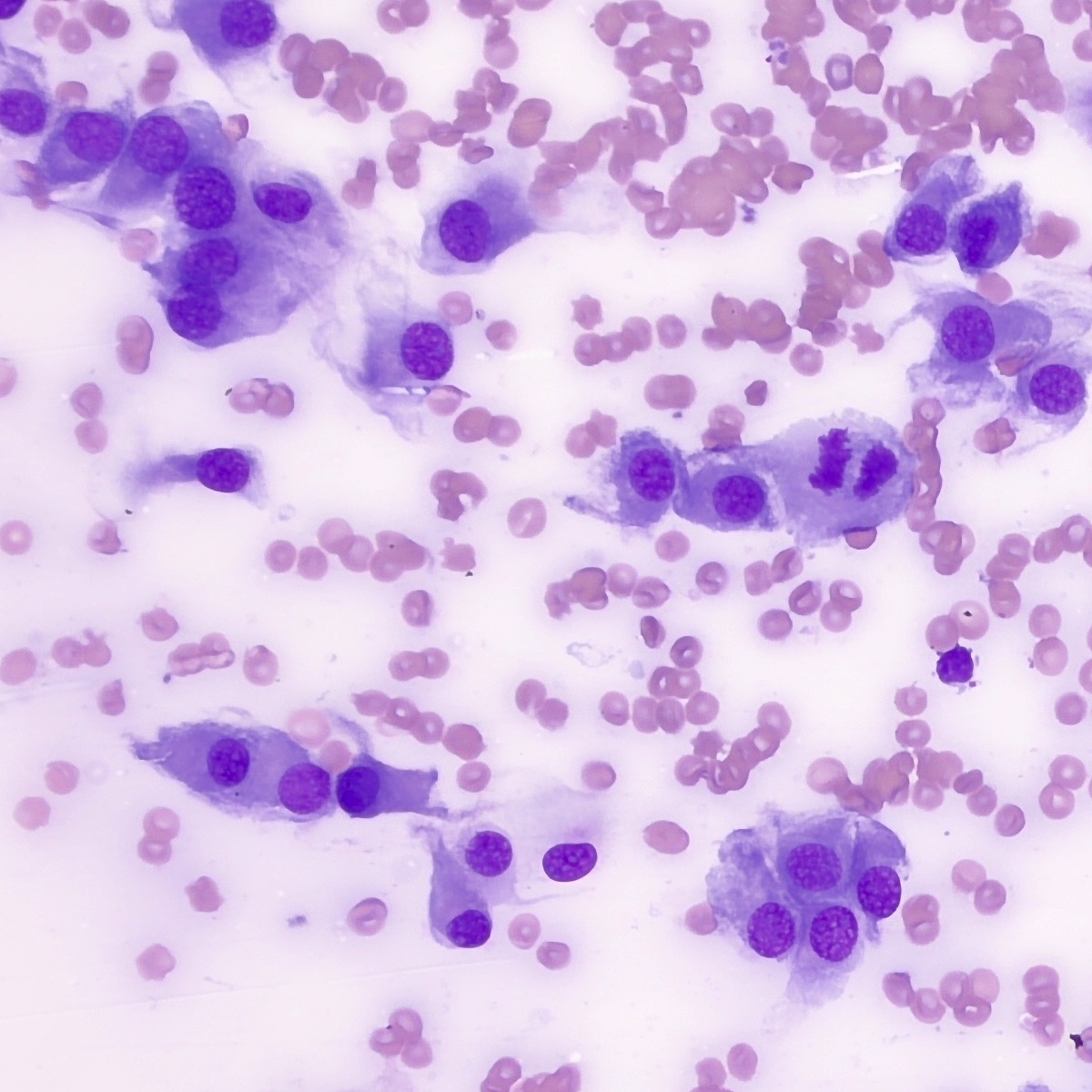
Cytology is often the fastest path to clarity. At Unavia, every cytologic evaluation is approached with the full clinical picture in mind, integrating history, physical exam findings, and diagnostic imaging whenever available.

Each report includes a clear diagnostic interpretation with a level of confidence, a template-based microscopic description, and clinically useful next steps tailored to your patient.
As we continue to build Unavia with our partner clinics, additional services will be added, including:
Precision isn't optional — it's the responsibility of a diagnosis.
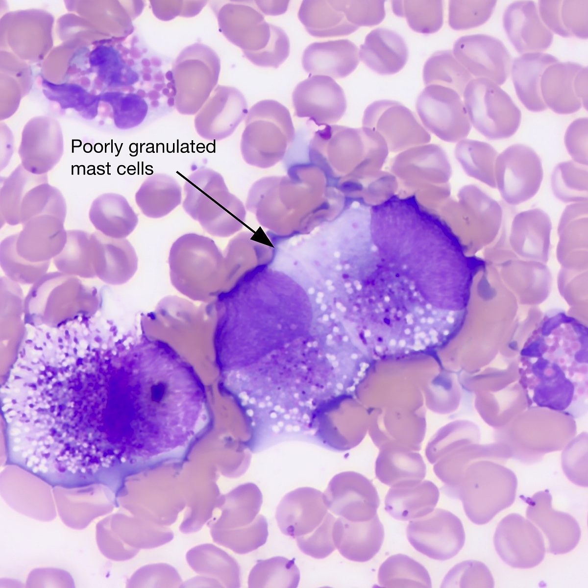
Unavia uses automated methanol-based staining for optimal slide quality and gold-standard fine-focus microscopy rather than slide scanners or stand-alone images. Cytology requires nuance and subtle detail that current scanning technologies often fail to accurately capture.
This ensures:

Interested in shaping Unavia's growing list of services? Join early access to be the first to know when submissions open.
Early Access